一、正確認識皮脂
皮脂主要來源于角質形成細胞(生理皮脂)和皮脂腺(游離皮脂)。
角質形成細胞在分化末能夠合成膽固醇、脂肪酸和神經酰胺,這些脂質可以在角質形成細胞間形成復合板層結構,作為表皮屏障的一部分[1]。而我們皮膚表面的油脂主要指由皮脂腺分泌形成的多種脂質混合物,包括角鯊烯、單酯蠟、游離脂肪酸和膽固醇酯等,它們通過毛囊來到皮膚表面[2]。皮膚皮脂腺分泌油脂能夠控制皮膚水分平衡,適量的皮脂能夠潤滑皮膚,減小摩擦;皮脂還能夠維護毛囊的正常功能和輸送體表抗氧化劑[3]。過量的皮脂可能促使皮脂依賴性微生物(如馬拉色菌、痤瘡丙酸桿菌等)過多增殖,這類微生物代謝皮脂導致不飽和脂肪酸(如油酸、亞油酸等)等刺激物富集,給皮膚/頭皮帶來刺激、瘙癢、炎癥等問題,并可能加劇皮脂分泌。
圖1 皮脂腺分泌皮脂示意圖
圖2 痘痘生成示意圖
二、影響皮脂分泌的因素
皮脂分泌除了受到性別、年齡、生理周期等先天性因素的調控,還受許多可干預的內在或外在因素影響。
1、皮膚的溫度和濕度:溫度越高,油脂分泌就越快。皮膚表面濕度越高,皮脂乳化及擴散速度越慢;
2、飲食影響:吃高熱量和高糖分的食物會促進皮脂腺分泌量增加;
3、精神因素:人處于緊張、激動、熬夜或者睡眠不足時,經下丘腦-腦垂體-腎上腺軸(HPA軸)會使得腎上腺分泌更多的DHEA(脫氫表雄酮)[4],從而促進皮脂的分泌;
4、微生物:痤瘡丙酸桿菌和馬拉色菌(真菌)過度繁殖時會促進皮脂腺分泌皮脂;
5、激素:雄性激素(睪酮、脫氫表雄酮)和胰島素樣生長因子1 ( IGF-1) 會促進皮脂分泌;
三、降低皮脂過度分泌的方法
皮脂的分泌受內在因素和外在因素的影響,皮膚油或者不油,在一定程度上是調節的,相應的皮膚護理、飲食調整、情緒調節、個人衛生和藥物治療可以減少皮脂分泌。
1、皮膚護理:①適度清潔和保濕防曬:選用清爽收斂型潔面產品②吸附控油與收斂毛孔:控油化妝品中會添加一些吸油能力強的成分,比如:黏土、高嶺土、皂土、淀粉、滑石粉、硅石、二氧化鈦、氧化鋅等。當皮膚分泌油脂到皮膚表面,很快被這些吸油能力強的成分吸收,起到控油的效果(不建議長期使用,適用短效控油)。選用具有收斂毛孔作用的噴霧(內含硫酸鋅、金縷梅提取物、蕁麻提取物、麝香草提取物、馬栗樹提取物、鼠尾草提取物、繡線菊提取物等成分)③皮膚降溫:夏天可以待在空調房間里,外出隨身攜帶含有純凈水或天然泉水的噴霧,皮膚表面涂布含有適量酒精的產品,定期使用冷藏的補水面膜。
2、飲食調整:多吃蔬菜,限制多脂、多糖飲食,忌食辛辣、酒等刺激性食物,少喝湯,尤其是高油脂的熱湯。學會做飲食減法和替代法,豆漿代替牛奶,綠豆湯、南瓜粥和黃瓜汁替代奶茶,南瓜泥和土豆泥替代乳制品,溫水替代飲料,循序漸進,慢慢習慣。
3、情緒調節:學會自我放松,日常學會使用腹式呼吸法,起床前進行深呼吸,上床前遠離手機,學會合理發泄情緒,遇事學會理智調節和積極的心理暗示,多聽催眠式音樂和學會沉浸式閱讀,不要讓自己情緒波動過大,易怒或急躁的人學會慢半拍,學會“鈍感力”,有壓力的時候學會少做事,放松會讓自己快樂,抑郁的時候學會多做事,多和朋友交流,學會尋找自己的興趣特長,學會調節,一切都會慢慢變好,所以“笑一個吧,功成名就不是目的,讓自己快樂這才叫做意義”。
4、個人衛生:勤洗手,少摸臉,勤換枕套和床單,保持室內通風,隨身攜帶小風扇適當降溫保持清潔,洗澡時少用沐浴露,避免熱水,冬天適合用溫水洗臉,夏天適合用冷水洗臉,臉上出現毛囊炎時及時采取治療措施,比如用碘酒及時處理痘痘后涂紅霉素軟膏或者夫西地酸軟膏,定時換藥,保持面部其他部位清潔。
5、藥物治療:具有“抗雄激素”的藥物可以起到控制雄性激素分泌的作用。比較常見的口服藥物有:①避孕藥(達英-35);②抑制腎上腺來源的雄激素藥物(小劑量潑尼松或地塞米松);③5-a還原酶抑制劑(酮康唑、螺內酯、西咪替丁);④維A酸類(需要嚴格遵照醫囑和說明書服用)
四、較為常用的控油產品功效評價方法
常用的控油功效評價方法有體內和體外測試。
1、人體測試方法
①皮膚油脂測試儀Sebumeter:基于光度計原理,用一種0.1mm厚的特殊消光膠帶吸收人體皮膚上的油脂后,變成一種透明的膠帶,根據吸收的油脂越多,膠帶透光量越大的原理,測量皮膚表面油脂的含量[5]。
②面部圖像分析儀VISIA-CR結合圖像分析軟件:分析局部區域的卟啉面積比,如圖3所示,卟啉是痤瘡丙酸桿菌的代謝產物,而皮脂的大量分泌與痤瘡丙酸桿菌增殖相關,因而卟啉的大量產生與皮脂存在一定的聯系[6]。
圖3 VISIA-CR結合圖像分析卟啉含量示意圖
2、體外測試方法
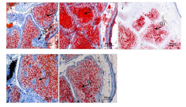
③細胞試驗:通過培養人皮脂腺細胞(SZ95人體皮脂腺細胞株),用尼羅紅染色檢測SZ95細胞質內脂質積累,用油紅溶液對細胞中分泌產生的甘油三酯等皮脂成分染色后,進行相對定量分析[7],可比對產品使用前后皮脂含量的變化。
圖4 尼羅紅染色檢測某制劑對SZ95細胞質內脂質的影響
圖5 油紅染色檢測某制劑對SZ95細胞脂質的影響
④Ⅰ型5α還原酶抑制或雄激素相關受體表達實驗:由于Ⅰ型5α-還原酶可促使睪酮(一種雄性激素)轉化為活性更強的雙氫睪酮,促使皮脂腺分泌亢進,通過抑制Ⅰ型5α-還原酶,減少睪酮向雙氫睪酮轉化,減少皮脂含量[8],因而檢測Ⅰ型5α-還原酶的基因表達量,可用于評價產品控油效果(酶聯免疫檢測法ELISA),比如通過熒光實時定量PCR技術(RT-qPCR)檢測斑馬魚5α-還原酶(5α-reductase)基因表達的變化,即可對化妝品的控油功效進行評價[9]。
參考文獻
轉載自:藥大妝研
我們的服務:
| 研發服務 | 體外功效評價 |
• 為功效原料改良及開發提供技術支持 • 為產品配方改良及開發提供技術支持 • 研發咨詢服務 |

